전악 보철

Category

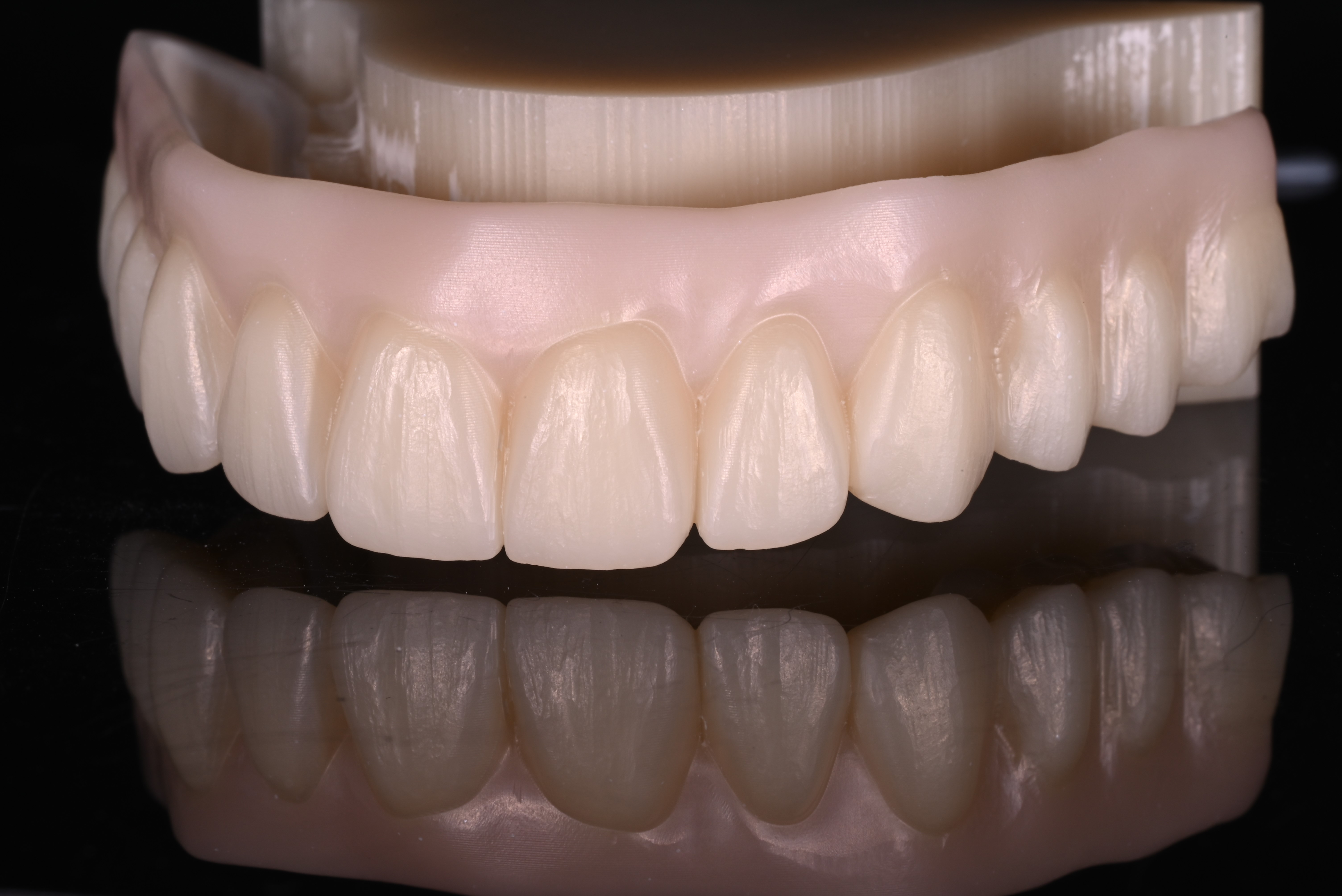
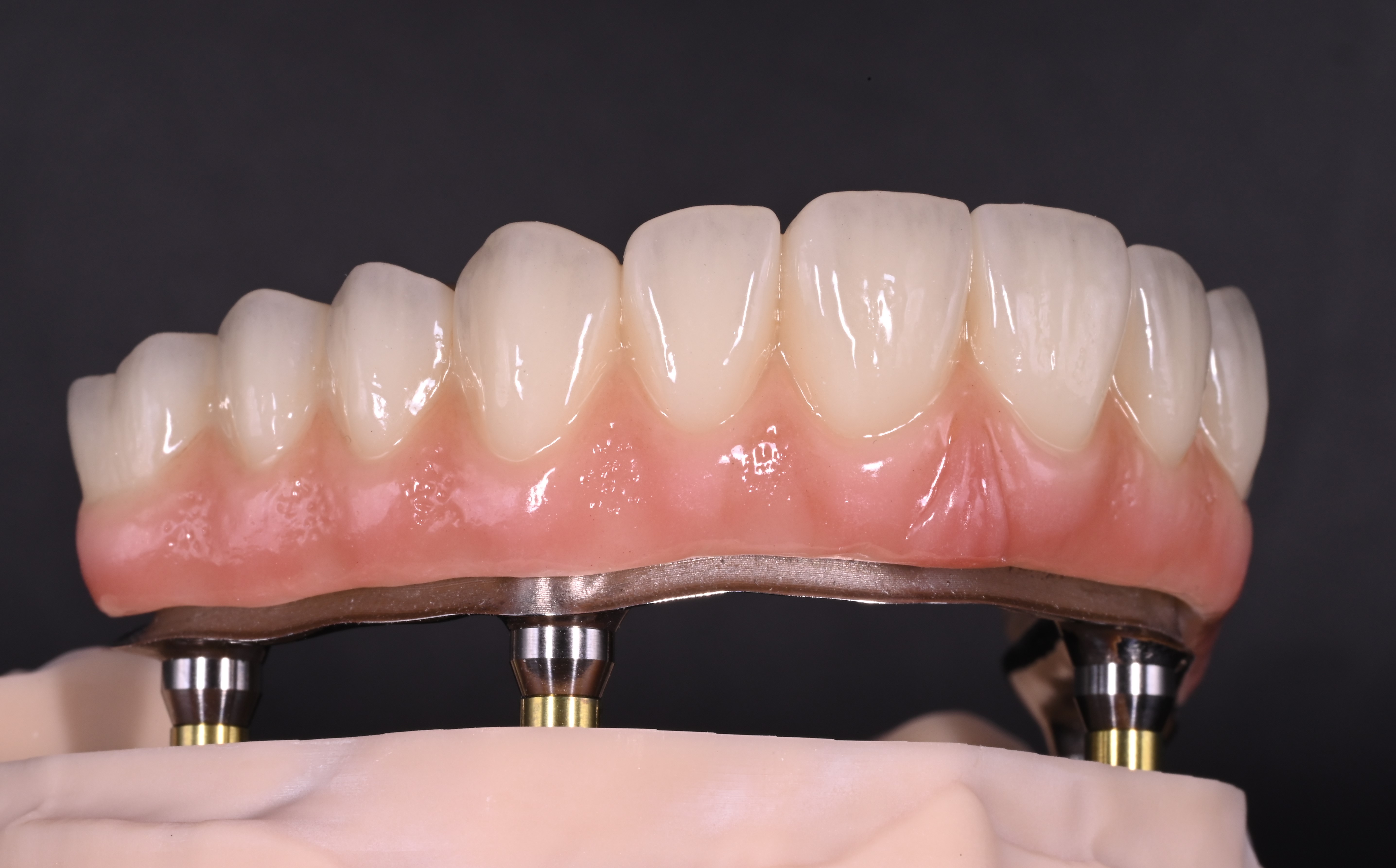
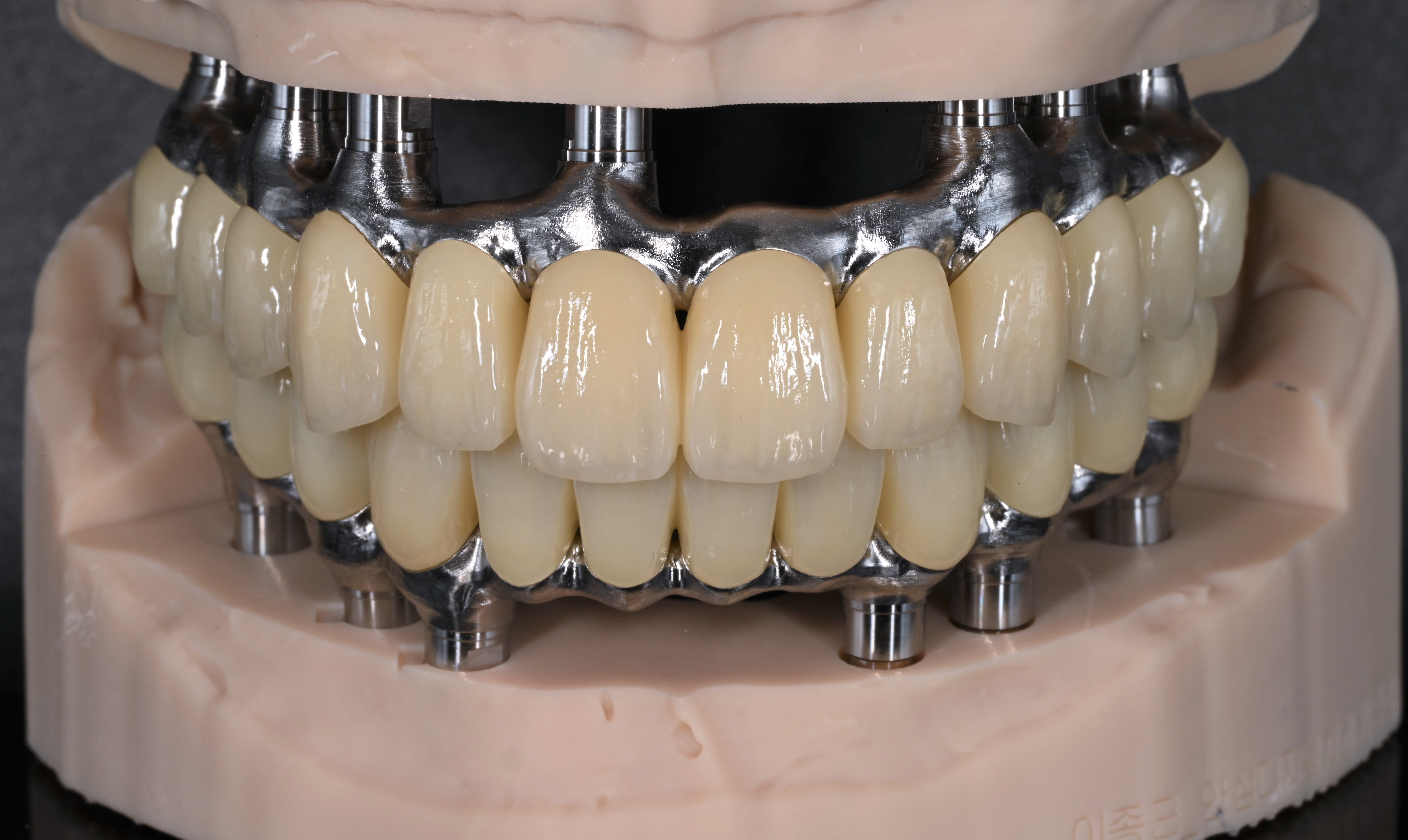
All-On-X 전악 보철(with Titanium or Ti - base 등) 최소한의 임플란트 식립으로 심미적, 기능적인 회복 솔루션

전악 보철

About the treatment

자연치아처럼 편안하고 아름다운 미소를 되찾으세요!

모든 치아를 상실하셨거나, 심각하게 손상된 치아로 인해 고민이신가요?

안심디지 치과기공소는 최첨단 기술과 노하우를 바탕으로 환자분께 맞춤형 전악 보철을 제작하여 드립니다.

전악 보철이란?

모든 자연치아를 상실하거나 심하게 손상된 경우, 인공 치아를 이용하여 잃어버린 기능과 심미성을 회복시키는 치료를 말합니다.

안심 디지털 치과기공소는 다양한 종류의 전악 보철물을 제작하여 환자분의 구강 상태에 맞는 최적의 치료를 제공합니다.

전악 보철의 장점

  • 자연스러운 미소: 본인의 치아처럼 자연스러운 아름다움을 되찾아 자신감을 되찾을 수 있습니다.
  • 편안한 저작 기능: 꼼꼼한 맞춤 제작을 통해 편안한 저작 기능을 회복시켜 일상생활에 불편함이 없습니다.
  • 발음 개선: 정확한 발음이 가능해져 원활한 의사소통을 할 수 있습니다.
  • 오래 사용 가능: 튼튼하고 내구성이 강하여 오랫동안 사용할 수 있습니다.

저희 치과기공소의 전악 보철

  • 개인 맞춤형 제작: 3D 스캔을 통한 정밀한 분석과 CAD/CAM 시스템을 활용하여 환자분의 구강 상태에 완벽하게 맞는 보철물을 제작합니다.
  • 다양한 재료: 금속, 세라믹, 지르코니아 등 다양한 재료를 활용하여 환자분의 니즈와 예산에 맞는 최적의 재료를 선택합니다.
  • 체계적인 사후 관리: 정기적인 검진과 관리를 통해 보철물의 수명을 연장하고 만족스러운 결과를 유지할 수 있도록 도와드립니다.

전악 보철은 단순히 치아를 복원하는 것을 넘어, 삶의 질을 향상시키는 중요한 치료입니다.

저희 치과기공소는 환자분의 편안하고 건강한 삶을 위해 최선을 다합니다.

안심 디지털 치과기공소 언제나 환자분들과 함께 합니다.

You are in good hands

Gallery

전악 보철

전악 보철